Urlaubswochen für 2026

Liebe Patientinnen und Patienten,

aufgrund der aktuellen personellen Situation, in der nur noch Dr. Boldt als Behandler tätig ist, müssen wir die Praxis in diesem Jahr leider häufiger schließen als bislang lediglich zur Weihnachtszeit.

Damit Sie entsprechend planen können, informieren wir Sie hiermit frühzeitig über unsere Urlaubszeiten, die wie folgt aussehen:

07.04.2026 – 10.04.2026

11.05.2026 – 15.05.2026

01.06.2026 – 05.06.2026

20.07.2026 – 24.07.2026

10.08.2026 – 14.08.2026

23.12.2026 – 08.01.2027

Vielen Dank für Ihr Verständnis.

Ihr Praxis-Team

Dr. Boldt & Kollegen

Leider haben Sie noch nicht das nötige Lebensalter erreicht.

Digitale 3D-Planung

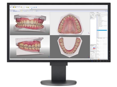
Die digitale 3D-Planung hat in der Kieferorthopädie einen revolutionären Fortschritt gebracht. Durch modernste Technologien wie CAD/CAM-Systeme und 3D-Scanner können wir heute präzise und individuelle Behandlungspläne erstellen. Mit Hilfe der digitalen 3D-Planung können Kiefer- und Zahnfehlstellungen exakt analysiert und visualisiert werden. Dies ermöglicht es uns die Behandlungsschritte genau zu planen und vorab am Computer zu simulieren. Dadurch können mögliche Komplikationen frühzeitig erkannt und vermieden werden. Darüber hinaus bietet die digitale 3D-Planung auch den Patienten viele Vorteile. Sie können bereits vor Beginn der Behandlung eine genaue Vorstellung davon bekommen, wie ihr Lächeln nach Abschluss der Therapie aussehen wird. Zudem ermöglicht die digitale 3D-Planung eine schnellere und effizientere Behandlung, da individuell angefertigte Aligner oder Schienen verwendet werden können. Insgesamt hat die digitale 3D-Planung die Kieferorthopädie auf ein neues Level gehoben und ermöglicht eine präzisere, effektivere und patientenfreundlichere Behandlung von Kiefer- und Zahnfehlstellungen.

Jetzt Termin vereinbaren!

Kontakt

Telefon: 09851 / 7675