Weihnachtliche Schließzeiten 
Änderung der Behandlungszeiten ab Februar 2026

Liebe Patientinnen und Patienten,

unsere Praxis bleibt über die Weihnachtsfeiertage in der Zeit vom 22.12.2025 bis 06.01.2026 geschlossen. Ab dem 07.01.2026 sind wir wieder wie gewohnt für Sie da. Wir möchten uns herzlich für Ihr Vertrauen in diesem Jahr bedanken und wünschen Ihnen und Ihrer Familie ein besinnliches, erholsames Weihnachtsfest sowie einen glücklichen Start ins neue Jahr.

Wichtige Information für das Jahr 2026:
Ab Februar 2026 müssen wir aufgrund von Personalmangel und einer Umstrukturierung unsere Behandlungstage auf 4 Tage reduzieren. Unsere Praxis wird künftig von Montag bis Donnerstag für Sie geöffnet sein. Diese Entscheidung treffen wir, um unser vorhandenes Potenzial optimal für Sie zu nutzen und weiterhin eine qualitativ hochwertige Behandlung bieten zu können.

Wir hoffen auf Ihr Verständnis und Ihr Vertrauen für diesen Schritt und sind auch in Zukunft mit voller Hingabe für Ihre Zahngesundheit da.

Ihr Praxis-Team

Dr. Boldt & Kollegen

Leider haben Sie noch nicht das nötige Lebensalter erreicht.

Unsere Leistungen für Ästhetik und Gesundheit

Nachfolgend möchten wir Ihnen unser umfassendes Angebot an kieferorthopädischen Behandlungsapparaturen vorstellen, die individuell auf Ihre Bedürfnisse abgestimmt werden. Ob Zahnspangen, unsichtbare Aligner oder moderne Therapien – wir bieten Lösungen, die nicht nur Ihre Zahnstellung korrigieren, sondern auch durch die Herstellung einer perfekten Gebissfunktion Ihr Lächeln zum Strahlen bringen. Erfahren Sie mehr über die verschiedenen Behandlungsmöglichkeiten und wie wir Ihnen zu einer gesunden und ästhetischen Zahnstellung verhelfen können. Bei Fragen stehen wir Ihnen gerne zur Verfügung!


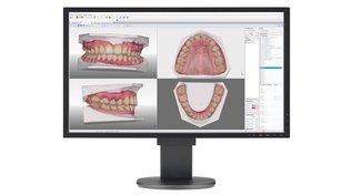
"Der berührungslose 3D-Scan

geht schnell, ist extrem genau und löst bei unseren kleinen Patienten keinen Würgereiz aus!“ "

- DR. FLORIAN BOLDT


WIR BERATEN SIE GERNE

Haben Sie Interesse an unseren Leistungen? Bei welchem Anliegen dürfen wir Sie begleiten?


Kontakt

Telefon: 09851 / 7675